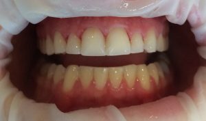
May 10, 2017 Our patient presented with extensive cavities and failing fillings on the upper teeth. The cavities and old fillings were replaced in 1 visit using cosmetic white resin restorations.The shading was matched to an A2 shade. All procedures completed by Dr. J. Shainhouse Principle Dentist Imperial Street Dental Cavities on Front Teeth repaired with Cosmetic Bonding Dental Cavities and Failing Fillings